Ultra magas felbontású CT - Pontosság minden részletben.
Kétszeres felbontást biztosít a jelenlegi CT rendszerekhez képest.
A világ első Ultra-Magas Felbontású CT (UHR CT) berendezése olyan apró anatómiai részleteket is fel tud tárni, mint például 150 mikron, olyan CT képminőséget nyújtva, amilyet általában csak katéterlaborokban látunk. Az UHR érzékelő újonnan tervezett, kétszeres felbontást biztosít a mai CT technológiákhoz képest, új érzékelővel, valamint csővel, forgótalppal és rekonstrukciós technológiákkal.
Fejlett intelligens Clear-IQ motor (AiCE)
Ultra-nagy felbontás standard CT-dózis mellett
Az Aquilion Precision forradalmi megközelítést vezet be a CT-rekonstrukcióba, amely a kifejezetten egyetlen feladat elvégzésére - éles, tiszta és jól elkülöníthető képek rekonstruálására - kiképzett mélytanuló neurális hálózatokat használ.
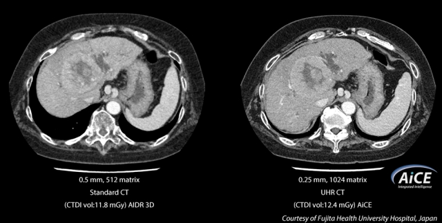
Az AiCE néven ismert mélytanuló rekonstrukciós hálózatot egy fejlett modellalapú iteratív rekonstrukciós (MBIR) algoritmuson képzik ki, hogy a mai klinikai MBIR-hez képest többszörösen gyorsabb, alacsony zajszintű, természetes textúrájú és 0,25 mm-es, 1024 mátrixú, ultranagy felbontású CT-képeket készítsen.

SURESubtrakció
Ultranagy felbontású szubtrakciós CT
CTA-vizsgálatoknál a SURESubtraction képes eltávolítani a csontot, a kalciumot és a stenteket az adatsorokból, így a klinikusok akadálytalan képet kaphatnak az artériákról. A SURESubtraction emellett jódtérképeket is képes létrehozni, amelyek lehetővé teszik a kontrasztanyag testben való eloszlásának értékelését a helyi perfúzió láthatóvá tétele érdekében.
Ultranagy felbontású CT (UHR CT)
Hardvertechnológiai innovációk
Új csőkialakítás az iparág legkisebb fókuszpontjával
Új 0,25 mm x 160 sor - a legkisebb ipari méretben
Új miniatürizált DAS-összetevők
Fekvőfelület precíziós megerősített meghajtómechanizmussal
Újjáépítési innovációk
Új mátrix, 1024 x 1024
UHR CT felvételekhez optimalizált
150 µm, 50 lp/cm* felbontás
AIDR 3D Enhanced UHR CT felvételekhez optimalizált
UHR CT-vizsgálatokra optimalizált AiCE
*MTF 0% (referenciaérték)
UHR érzékelő rendszer
Az Aquilion Precision Ultra-High Resolution detektor a hagyományos detektorral azonos geometriai hatékonyságot biztosít annak ellenére, hogy négyszer annyi detektorelem, szepta és elektronika van benne.
0,25 mm x 160 sor, 1792 csatorna
Alacsony elektronikus zaj
UHR röntgencső
Kis fókuszméret (0,4 mm X 0,5 mm)
Az UHR cső adaptív fókuszpontot tartalmaz, amely hat pontos fókuszpontméret előállítására képes az UHR CT követelményeinek megfelelően. A fókuszpont alkalmazkodik a beteg méretéhez, a kollimációhoz, a mátrixhoz és a klinikai feladathoz, így minden vizsgálathoz optimális felbontást biztosít.